Dental Implants
An effective and long-lasting way to replace one or more missing teeth
Dental implants make a huge impact on lives, restoring smiles and confidence. We have the technology, expertise and experience to place precise implants. We accept referrals from other dentists as well as self-referrals. Our cutting-edge equipment streamlines the treatment, drastically improving patient experience and does not compromise on quality.
A comprehensive assessment with our experienced Implant dentists.
Consultation fee fully redeemable against treatment.
We offer transparent pricing, complete dental implant treatment, including implant placement, exposure implant, complete restoration, crown & 3-month review appointment, from just £2,750.
Book an appointment Accepting referrals today! Use our online referral form
What are dental implants?
We understand that teeth can be lost for several reasons, including decay, trauma, infection, or gum disease, and this loss can result in a whole host of problems. Our dental implants in Hitchin offer a strong, secure, and natural-looking solution for missing teeth. Dental implants are titanium posts that are surgically placed in the jawbone to act just like tooth roots. As titanium is a durable metal that is very well tolerated by the body, these cylindrical posts eventually fuse with the bone, providing a firm foundation for a crown or bridge.
Book an appointment ACCELERATE HEALING WITH CUTTING-EDGE PRF THERAPY
Benefits of dental implants?
- Secure – dental implants stay firmly in place and will not slip when you are eating or speaking or become loose over time. As they are held in place by your bone, you can be confident of their strength and durability.
- Aesthetic – implants look and feel just like natural teeth. You will be able to eat, drink and talk just as you did before, as well as show off a winning smile.
- Effective – dental implants are a well-established, safe, and highly effective way of replacing one or more missing teeth in any part of your mouth.
- Supportive – implants help to support and sustain your facial structure and remaining natural teeth. They protect your gum and can be fitted with no detrimental effect on your existing healthy teeth.
- Innovative – implants use cutting-edge digital dental technology combined with specialist expertise to create the next best thing to a natural tooth.
Finance options available
We know that dental implant treatment can seem expensive, which is why we are pleased to offer flexible payment options to help spread the cost, including 0% interest for 12 months.
Please speak to our team to find out more…
Why choose Hitchin Dental Care?
- We have invested in state-of-the-art equipment to ensure your comfort throughout implant treatment.
- We offer 0% finance options so you can spread the costs of your dental implants.
- One-year guarantee – implant replaced free of charge within a year if it fails.
- We create personalised treatment plans to suit your needs and fit in with your lifestyle.
- We use high-quality implants from Sweden & Martina who are international leaders in the field of implantology.
Patient reviews

Very impressed with Hitchin Dental Care , especially Roshni and Holly who made me feel relaxed and less anxious during my treatment. Professional yet warm . Very pleased with the results! Happy to have found a dentist where it feels welcoming

This is the best dental practice we have ever been to! Dr Roshni Sharma and Nurse Holly Surridge (The Dental Dream Team) were just incredible and a true asset to the surgery. Walking in we were welcomed by the friendly reception staff and their lovely smiles (a great sign this dental practice is a good one!). We took my father in for an emergency appointment after his tooth and previous crown had broken off. We feared his tooth would have to be extracted. They had recommended remaking his tooth using a state of the art in house milling machine which I hadn’t ever seen before and never even thought was possible. The benefit of using this technology meant my dad was able to keep his tooth and have a brand new one made within the hour!
I honestly cannot recommend this surgery and its staff more highly enough. They are extremely attentive and knowledgeable but most importantly it felt like they cared for my dad’s well being, which really means a lot. Thanks to the whole team for everything you did for us, we are extremely grateful!
What does the process for dental implant treatment involve?
Step 1: Initial Consultation & Planning
We will provide you with an assessment, including x-rays as required. We use an iTero scanner to ascertain how your teeth fit together, your oral health, and the density of your jawbone. If we discover you have insufficient bone volume, you may need a grafting procedure to allow for the successful placement of implants. We will tailor your advice and provide you with a treatment plan.
Step 2: Fitting
The titanium implant is placed into your jawbone by our skilled implantologist, using a local anaesthetic to minimise any discomfort. The implant will take 3-6 months to heal and fuse to the bone, so a temporary tooth is fitted to protect your gum during the healing process.
Step 3: Smile!
Once your implant has fully healed and integrated, we fit your final crown or bridge and complete your brand-new smile. We will give you some advice on how to look after your dental implant and leave you to start showing off your smile! Included in the price is a 3-month review appointment.
MEET OUR IMPLANT TEAM
Dr Jayesh Patel
GDC No. 61883
Dr Jay Patel graduated from Kings College of Medicine and Dentistry, London in 1986. After working in general dentistry for some time, he turned his attention to dental implants in the nineties. He undertook training at the prestigious Eastman Academy in London, and later gained his Masters’ Degree in Dental Implantology at the Charles Clifford Dental Institute.
Jay is a member of the Association of Dental Implantology (ADI), the British Academy of Cosmetic Dentistry, and the (ITI) International Team for Implantology. He continues his professional development in this field which has seen him travel to North America and Europe, ensuring this knowledge is passed on to patients and colleagues alike and assuring them that they are in good hands.
DR KULDIP CHAWLA
GDC No. 251168
Kuldip (known as Ricky) graduated as a dentist from the University of Central Lancashire in 2014, following the completion of his BSc in Biochemistry with Forensic Science from Queen Mary University of London.
His dedication to dental excellence has enabled him to complete a post-graduate program in comprehensive aesthetic and restorative dentistry, alongside attaining an MSc with distinction in Clinical Implantology and he regularly involves himself with events run by organisations such as the International Team of Implantologists (ITI) to further his skills and knowledge.
What types of dental implants are available?
At our specialist locations, we use the Sweden & Martina implant system with our CEREC milling unit, we can replace missing teeth efficiently and successfully. Our systems allow us to restore single missing teeth, multiple, a full arch and retain dentures.
Single implants
A missing tooth can be effectively replaced using a crown fitted to a single dental implant. The replacement tooth is strong, secure, and durable, able to withstand pressures from chewing, and looks just like your existing teeth. Alternative options for a single missing tooth are available, including a single tooth denture or bridge, but these are not as effective as an implant. A single implant can be fitted with no damage to the remaining healthy teeth, prevents unwanted movement, and strengthens the jaw.
Multiple implants
If you have several missing teeth, there are various implant options to consider filling the gaps. Separate single implants can be placed, but you do not necessarily need an implant fitted for each missing tooth. Strategically placed implants can be used to support a bridge to replace a few adjacent teeth. This method is particularly effective in cases where the jawbone may not be sufficient for implant treatment in some places.
Full arch implants
Traditionally, dentures have been the go-to option for replacing a full upper or lower arch of missing teeth. However, despite the advances in denture treatment, they can be uncomfortable to wear and do not stop the jawbone from degrading over time. Dental implants are seen as the superior alternative and offer two main full-arch options:
- A fixed full-arch bridge of new teeth, supported by four or six precisely placed dental implants. Once they have settled, your new teeth will feel completely natural and enable you to eat, drink and speak as you did before.
- A denture, anchored into place by dental implants. Implant-supported dentures are much more secure and do not move when worn, giving you back your confidence and a full smile.
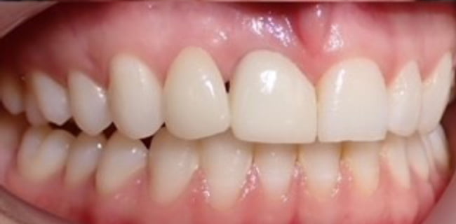
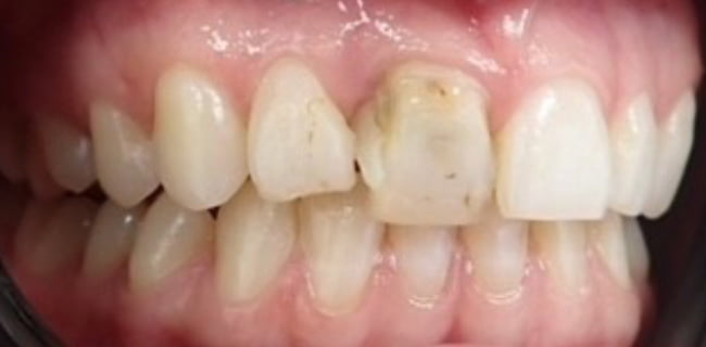
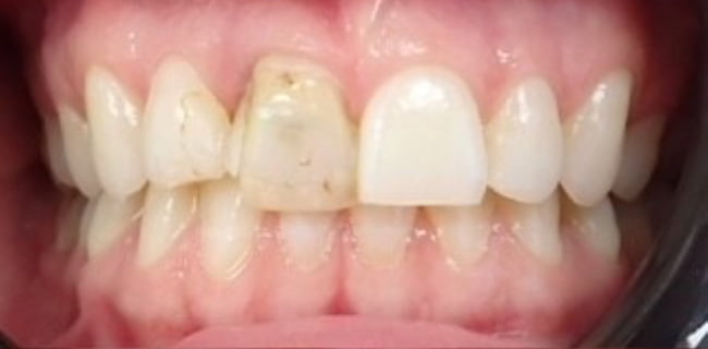
Before & after treatment
We invite you to explore our before and after photos showcasing the transformative power of teeth implants. These real patient examples demonstrate the remarkable results we achieve, from single tooth replacements to full mouth restorations. Witness firsthand how dental implants can restore smiles, improve oral function, and boost confidence. We’re confident you’ll be impressed by the life-changing impact of our dental implant procedures.


See more cases Book an appointment


Dr Jayesh Patel
DR KULDIP CHAWLA












